Ao realizar a análise da dentição mista e se obter discrepância de modelo nula, o que devemos fazer? Qual a conduta terapêutica adequada?
Análise da dentição mista na prática clínica
A importância do arco inferior no planejamento ortodôntico
Discrepância de modelo nula
Prática clínica diante da discrepância de modelo nula
Análise da dentição mista na prática clínica
Nos últimos posts do blog conversamos sobre a análise da dentição mista e revisamos os conceitos que definem essa análise. Se você quiser saber um pouquinho mais sobre esses conceitos, sugiro dar uma olhada também nos posts anteriores.
Por que fazer análise da dentição mista?
Como fazer análise da dentição mista?
Confesso que nem sempre faço o cálculo da análise da dentição mista. Porém, observo que muitas vezes somos levados a intervir em apinhamento primário que ainda será resolvido com a troca dos dentes decíduos se soubermos administrar esse espaço.
Claro que muitas vezes, mesmo diante de uma discrepância de modelos positiva (grande maioria dos casos), a atresia dos arcos maxilares indica a realização de procedimentos expansores. Contudo, o que quero reforçar no texto de hoje é que GRANDE PARTE dos pacientes não precisarão de expansão no arco inferior como solução para um apinhamento anterior inferior.
A importância do arco inferior no planejamento ortodôntico
Na prática clínica, o que temos que entender é que o arco inferior sempre será a base para qualquer tratamento ortodôntico, seja esse na dentição decídua, mista ou permanente.
Não conseguimos controlar de forma efetiva o crescimento ântero-posterior da mandíbula, assim como, o osso mandibular não apresenta sutura que permita estímulo de crescimento transversal. ou seja, o comprimento do arco inferior é muito determinado pelas características genéticas do indivíduo e pouco podemos fazer para aumentar o comprimento do arco. O grande objetivo do tratamento ortodôntico será manejar o espaço que se tem, saber administrar o espaço disponível, sendo projeção dentária (se indicado) ou mesmo por recuperação de espaço ou verticalização de dentes. E no caso da dentição mista, o manejo de espaço estará muito associado a preservar o Leeway Space na troca entre os dentes decíduos posteriores.

Ao nos depararmos com apinhamento anterior-inferior na dentição mista é preciso se perguntar o seguinte:
“O espaço disponível no arco será suficiente para corrigir esse apinhamento?”
E mais:
“O equilíbrio entre lábio-língua já está estabelecido?”
A resposta para a primeira pergunta está basicamente na análise da dentição mista. Ao quantificar o espaço presente e o espaço requerido conseguimos estimar se haverá ou não espaço suficiente no arco.
Em relação à segunda pergunta, a resposta é ainda mais subjetiva. Não se sabe ao certo em que fase o equilíbrio entre lábio e língua será estabelecido. O fato é que os incisivos inferiores irrompem por lingual em relação a seus antecessores decíduos e após sua irrupção a língua acaba contribuindo para a projeção dos mesmos. Portanto, ao avaliarmos um paciente aos 5 ou 6 anos de idade com incisivos permanentes recém-irrompidos, o apinhamento irá parecer pior do que ele realmente será, já que a língua vai contribuir para a projeção desses dentes.
Discrepância de modelo nula
Entendendo que temos uma “sobra” de espaço na troca dos dentes decíduos pelos dentes permanentes na região posterior conseguimos entender o propósito da análise da dentição mista. O objetivo dessa análise é justamente estimar essa diferença para assim

orientar a conduta terapêutica mais adequada.
E hoje vamos falar sobre o que fazer quando a análise da dentição mista for NULA, ou seja, a diferença entre o espaço presente e o espaço requerido é ZERO. Na prática, como o resultado da análise não é exato, considero que um resultado entre -2 e +2 como sendo ZERO.
Normalmente realizo a análise no período intertransitório e sendo próximo a zero meu planejamento consiste em manter o espaço.
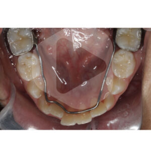
Para manter esse espaço normalmente utilizamos um arco lingual. Mas também poderia ser uma placa removível, por exemplo, desde que o paciente realmente use adequadamente durante o período de troca dos dentes posteriores.
Prática clínica diante da discrepância de modelo nula
É importante entender que a perda de espaço no comprimento do arco só irá ocorrer quando o primeiro molar permanente mesializar após a esfoliação do segundo molar decíduo. Antes disso o comprimento do arco se mantém e não será necessário segurar esse espaço.
Considerando que estamos falando do arco inferior e que o segundo molar decíduo é o último dente a esfoliar no arco, o arco lingual não precisa ser instalado no momento que realizamos a análise. O momento de instalar o arco lingual é logo antes de esfoliar o segundo molar decíduo.
Na prática, costumo instalar o arco lingual assim que esfolia o primeiro molar decíduo ou quando observo a mobilidade do segundo molar decíduo e não antes disso. Considere que após a esfoliação do primeiro molar decíduo você ainda terá aproximadamente 6 meses para esfoliar o segundo molar decíduo e portanto, terá um tempo para instalar o arco lingual. Portanto, nessa fase da dentição, não deixe de acompanhar o paciente a cada 6 meses aproximadamente, pois assim você não perderá o ‘time’ para instalar o arco lingual a tempo de reservar o espaço na troca dos dentes posteriores.

Vou colocar aqui as imagens de um paciente com discrepância de modelo igual a ZERO em que o único procedimento interceptivo realizado no arco inferior foi a instalação de um arco lingual no segundo período transitório da dentição mista.
Bons estudos!





