A dentição decídua está completa entre os 2 anos e meio a 3 anos de idade e permanece sem grandes modificações até aproximadamente os 5 ou 6 anos de idade, quando há a irrupção dos primeiros molares permanentes e a troca dos incisivos. Mas afinal, o que considerar na avaliação ortodôntica nessa fase da dentição?
Características da dentição decídua
Quais características oclusais devem ser avaliadas na dentição decídua?
Características da dentição decídua
Cronologia de irrupção
A dentição decídua se completa por volta dos 30 meses de vida com a irrupção segundos molares decíduos. Aproximadamente aos 5 ou 6 anos de idade se tem início a fase de dentição mista com a irrupção dos incisivos ou primeiros molares permanentes.
Aliás, um tempo atrás escrevi também aqui no blog sobre a rota de irrupção do primeiro molar permanente superior. Fica aqui o link para quem quiser dar uma lida no blog ou acessar direto o podcast sobre o assunto.
O primeiro ponto que precisamos ter bem claro em relação à dentição decídua é entender o seu desenvolvimento normal. Saber o tempo de irrupção aproximado de cada dente e sua cronologia, pois somente assim iremos desconfiar de distúrbios irruptivos, agenesias ou supranumerários.
Então vamos lá, vamos revisar a cronologia de irrupção na dentição decídua:

Certo, então após avaliar a cronologia de irrupção na dentição decídua, também é importante entendermos que na dentição decídua as anomalias dentárias como agenesias e supranumerários são pouco frequentes, apesar de eventualmente nos depararmos com elas. O que precisamos saber é que entre as anomalias dentárias da dentição decídua podemos dizer que agenesias e fusões dentárias presentes na dentição decídua também podem estar associadas a agenesias na dentição permanente, o que não é comum para outras anomalias como supranumerários pois a origem genética dessas anomalias são distintas.
Ficou claro? Vou deixar um quadrinho aqui embaixo para que possamos fixar melhor:

Na imagem abaixo é possível ver a foto oclusal inferior de uma menina de 6 anos de idade com fusão dos dentes 72 e 73, 82 e 83 e agenesia dos dentes 32 e 42.


Diastemas
Além de avaliarmos a cronologia de irrupção dentária, é importante também ter uma ideia de previsibilidade de espaço no arco. Os dentes decíduos de maneira geral são menores que seus sucessores permanentes. Isso faz com que arcos com diastemas generalizados na dentição decídua são considerados mais favoráveis para a irrupção dos dentes permanentes. Baume classificou os arcos decíduos em tipo I e tipo II. O tipo I é aquele que apresenta diastemas generalizados e o arco tipo II é aquele que não apresenta diastemas.
Leighton BC também estudou as características da dentição decídua e suas alterações ao longo do tempo. O autor observou que arcos com apinhamento ou sem diastemas na dentição decídua apresenta 75% de chance de apinhamento na dentição permanente. Além do que, pacientes com pelo menos 6 mm de espaço (somatório diastemas) na dentição decídua não apresentam apinhamento na dentição permanente.
Claro que não iremos somar os diastemas na dentição decídua mas a percepção clínica fica mais apurada ao ter uma medida exata como referência.
Quando falamos de 6 mm de espaço no arco estamos falando do tamanho de 1 incisivo inferior distribuído entre os dentes decíduos. Portanto, pode considerar um paciente com diastemas generalizados.
A literatura traz pouca precisão na relação entre os dentes decíduos e os dentes permanentes. Porém, quantificar os diastemas, mesmo que de forma subjetiva nos permite maior embasamento para entender como a maloclusão vai se desenvolver e a partir daí entender quando e porquê devemos intervir.
Claro que este não é o único fator a ser considerado na previsibilidade de espaço, porém observar essas características podem nos auxiliar ao definir quando e porquê intervir.

Além desses, outros aspectos são relevantes nas características oclusais na dentição decídua. Porém acredito que saber avaliar a cronologia de irrupção e entender um pouquinho sobre a previsibilidade de espaço são fundamentais para quaisquer cirurgião dentista que realiza atendimentos ao público infantil, seja esse cínico geral, odontopediatra ou ortodontista.
Quais características oclusais devem ser avaliadas na dentição decídua?
Entre os aspectos que devemos observar em uma avaliação ortodôntica na dentição decídua, podemos dizer que os mais relevantes, os quais deveriam fazer parte da rotina de qualquer cirurgião dentista que atenda o publico infantil são:
1) Cronologia de irrupção – já conversamos no item anterior.
2) Relação ântero-posterior entre os arcos
3) Relação transversal entre os arcos
4) Relação vertical entre os arcos
- Sobremordida
- Mordida aberta anterior
5)Previsibilidade de espaço – já conversamos brevemente no item anterior.
Como já conversamos um pouquinho sobre cronologia de irrupção e previsibilidade de espaço. Vamos agora abordar a relação ântero-posterior, relação transversal e vertical entre os arcos.
Relação ântero-posterior
Somente quando há quantidade de diastemas disponíveis no arco e a relação ântero posterior bem estabelecida provavelmente estabelecerão relação oclusal ideal na dentição permanente (Leighton BC, 1969).
De maneira geral, diversos autores utilizam a relação entre os caninos como referência para relação ântero-posterior na dentição decídua. A relação de “Classe I” de caninos é estabelecida quando a ponta de cúspide do canino superior oclui entre o canino inferior e o primeiro molar decíduo.
Portanto, podemos dizer que o espaço primata está localizado exatamente onde deveriam ocluir os caninos decíduos. No arco inferior, o espaço primata está localizado entre o canino e o primeiro molar decíduo, sendo um ponto chave para o desenvolvimento normal da oclusão.
De acordo com Van der Linden, a presença do espaço primata permite um aumento da distância intercaninos decíduos durante a irrupção dos incisivos inferiores permanentes. Ao irromper o incisivo lateral inferior, esse “empurra” o canino decíduo para a distal, permitindo um ajuste da oclusão.

Enquanto que, no arco superior, o espaço primata se encontra entre o incisivo lateral decíduo e o canino decíduo, onde deve ocluir o canino inferior em uma relação oclusal normal. No caso do arco superior, o espaço primata é importante durante a irrupção do incisivo central superior permanente. O incisivo central é o maior entre os incisivos e durante o seu processo irruptivo, esse empurra o incisivo lateral decíduo para o espaço primata.
A relação distal entre os segundos molares decíduos também pode ser uma referência da relação ântero-posterior entre os arcos, apesar de nem sempre ser de fácil visualização durante a consulta clínica.
Minha sugestão, tenha como referência a relação de caninos durante seu exame clínico e deixe a relação de plano terminar entre os molares para avaliar nos exames complementares (modelos de gesso ou escaneamento).
Relação transversal entre os arcos
A relação transversa pode ser comparada à relação de tampa-caixa, onde a maxila é a tampa e a mandíbula é a caixa, ou seja, precisamos avaliar a relação de “largura”entre os arcos. Para avaliar a relação transversa é importante observar se os dentes estão verticais em relação a sua base óssea e avaliar a relação de encaixe entre os arcos.

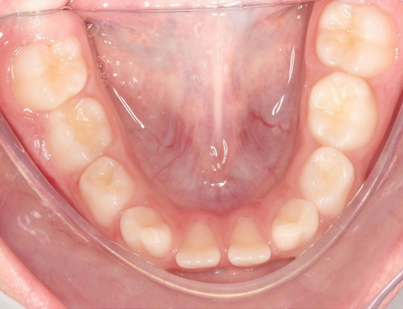
Observe na imagem ao lado, se você observar bem vai perceber que os dentes inferiores estão levemente inclinados para lingual, provavelmente “buscando” uma relação oclusal com uma maxila mais estreita em relação à mandíbula. Não quer dizer que sempre nessas situações clínicas será necessário intervenção, porém, será importante avaliar outros aspectos funcionais para definir se será ou não necessário intervir. Ou seja, este talvez seja o caso de encaminhar para uma avaliação com especialista.
A mordida cruzada posterior também é uma característica da relação transversa insatisfatória onde é necessária a intervenção.
Relação vertical entre os arcos
A relação vertical entre os arcos nada mais é do que avaliar a presença de sobremordida exagerada ou mordida aberta anterior.
Mordida aberta anterior
A mordida aberta anterior na dentição decídua normalmente está associada a hábitos de sucção deletérios e nessas situações cabe ao profissional a orientação em relação à remoção do hábito. Normalmente a mordida aberta anterior fecha espontaneamente após a remoção no hábito, não sendo necessário a instalação de dispositivo ortodôntico.
Sobremordida
A sobremordida na dentição decídua varia muito, principalmente em virtude dos desgastes naturais dos dentes decíduos. Como regra geral, podemos considerar que a sobremordida na dentição decídua varia de 0 a 3 mm, sendo medida pelo trespasse vertical entre os incisivos centrais.
O tratamento de sobremordida profunda na dentição decídua é controverso. Normalmente minha recomendação é aguardar o primeiro período transitório para tratamento da sobremordida exagerada, pois assim conseguimos aproveitar o levante da oclusão proporcionado pela irrupção do primeiro molar permanente, já que o tratamento da sobremordida tem pouca estabilidade e é altamente recidivante em virtude do padrão muscular.
Além dos aspectos oclusais, também é importante avaliarmos as questões funcionais: respiração, deglutição e fonação. Porém estes aspectos vamos deixar para conversar em um próximo post.
Espero ter esclarecido um pouco mais os aspectos oclusais importantes de serem observados na dentição decídua.
Bons estudos.







