Ortodontia e Ortopedia
na Infância
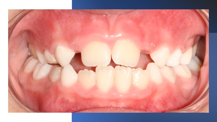
Classe III na Dentição Decídua e Mista: Diagnóstico Diferencial e Protocolo Clínico Baseado em Evidência
Juliana Pereira Andriani
16/04/2026
A Classe III esquelética na infância é uma das maloclusões que mais impactam crescimento facial, função e qualidade de vida. Mas o maior erro clínico ...
Leia mais→
Classe II na Dentição Decídua e Mista: Como Diagnosticar Antes de Tratar
Juliana Pereira Andriani
25/03/2026
Classe II não começa no aparelho. Começa no diagnóstico. Quando falamos em Classe II na infância, a primeira pergunta não é “qual aparelho usar”. A ...
Leia mais→
Mordida Aberta Anterior na Dentição Decídua e Mista: Quando e Por Que Tratar?
Juliana Pereira Andriani
11/03/2026
Mordida aberta anterior na dentição decídua ou mista sempre se auto-corrige? Certamente você ja ouviu algum paciente relatar que quando “chupava chupeta” quando era pequeno ...
Leia mais→
Diagnóstico Transversal na Dentição Decídua e Mista: Como Avaliar Atresia Maxilar
Juliana Pereira Andriani
11/03/2026
O diagnóstico é um dos principais pilares do diagnóstico ortodôntico interceptivo. Diagnóstico não é etapa burocrática é fundamento biológico. Antes de qualquer expansor ou antes ...
Leia mais→
Como definir o padrão esquelético em cefalometria
Juliana Pereira Andriani
21/02/2025
Definir o Padrão esquelético do paciente provavelmente é o maior desafio para o clínico ou ortodontista no início da sua carreira. São inúmeras análises cefalométricas ...
Leia mais→
O desafio da cefalometria
Juliana Pereira Andriani
14/02/2025
A cefalometria é vista como um dos principais gargalos na formação ortodôntica e muitas vezes um grande desafio para o clínico ou mesmo para ...
Leia mais→
Frenotomia lingual, será que esse é o caminho?
Juliana Pereira Andriani
02/10/2024
Hoje resolvi compartilhar com vocês a minha reflexão sobre a palestra do Dr. Sylvan Mintz no AAO Conference (Congresso Americano de Ortodontia) agora em 2024 ...
Leia mais→
Adaptação de bandas ortodônticas
Juliana Pereira Andriani
21/08/2024
A adaptação de anéis ortodônticos, ou popularmente chamados também de bandas ortodônticas, é um procedimento clínico comum na prática clínica de odontopediatras ou ortodontistas. Atualmente, ...
Leia mais→
3 pontos essenciais para boa adaptação da banda ortodôntica
Juliana Pereira Andriani
21/08/2024
É comum a falha na cimentação de dispositivos ortodônticos fixos estar na adaptação da banda ortodôntica. Volta e meia me deparo com a seguinte pergunta: ...
Leia mais→
Por que fazer a análise da dentição mista?
Juliana Pereira Andriani
13/08/2024
Volta e meia me deparo com essa questão…”Profa, por que devemos fazer a análise da dentição mista se o paciente vai crescer?”…ou então…”A análise da ...
Leia mais→
Protocolo de ativação para expansão rápida da maxila na dentição decídua e mista
Juliana Pereira Andriani
12/06/2024
A expansão rápida da maxila tem como objetivo restabelecer a dimensão transversa da maxila através da abertura da sutura palatina medida. Contudo, apesar dos inúmeros ...
Leia mais→
Apneia obstrutiva do sono na infância: Quais as características fundamentais para o diagnóstico?
Juliana Pereira Andriani
05/06/2024
Uma criança passa (ou deveria passar) quase metade do seu dia dormindo. Sendo assim, qualquer fator/doença que atrapalhe esse sono pode causar grande impacto no ...
Leia mais→
Veja os depoimentos dos alunos da Dra. Juliana Pereira
"Minha musa inspiradora... Parabéns pelo empenho e pela dedicação com que te entregas a tudo que fazes. Tua facilidade em transmitir teus conhecimentos nos inspira a buscar sempre o melhor. Obrigada pela oportunidade de poder te acompanhar de pertinho nesses últimos 4 meses. Saio dessa experiência com a bagagem cheia de conhecimento, novas ideias e a possibilidade de novos projetos. Que teus caminhos sejam iluminados!! @ju.pereira.andriani"
Milena CordeiroOrtodontista e Odontopediatra
"Mais que um curso, esta atualização em Ortodontia Preventiva e Interceptiva foi um divisor de águas na minha formação como odontopediatra. Aprendi a diagnosticar problemas e encontrar soluções. Finalizo este curso feliz com a escolha que fiz e com tudo que aprendi, além de ter conhecido pessoas maravilhosas que fizeram com que tudo fosse mais especial ainda!"
Jessica Copetti BarasuolOdontopediatra
"Y empezó todo con un programa súper completo que me atrapó, de algo que me apasiona... La Ortopedia funcional de los maxilares.. Fue un curso que llenó ampliamente mis expectativas y las superó.. con muuuucho contenido, y abordaje que me abrió tanto la mente y forma de ver las cosas.. @ju.pereira.andriani usted es la mejor profesora que conocí dando aulas.. es maravilooooooosa!"
Ale IvaskevichOdontopediatra











